形成外科
眼瞼下垂
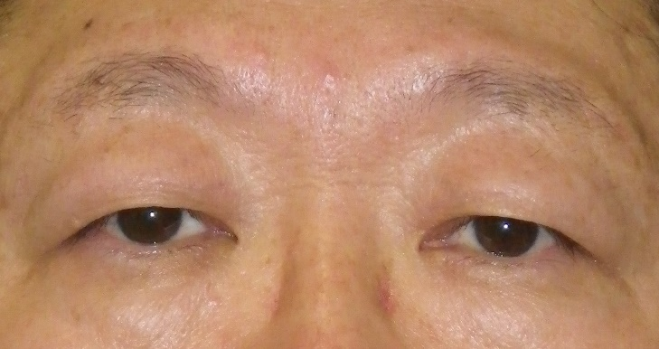
眼瞼下垂とは、上のまぶたが下がって瞳がおおわれ、視界が狭くなる状態のことをいいます。これは、まぶたを主に持ち上げる筋肉(上眼瞼挙筋)が何らかの原因でうまく働かなくなることで起こります。
主な原因としては、
①生まれつき筋肉自体の機能が弱いこと
②摩擦や加齢に伴って筋肉がまぶたの端から外れてしまうこと
③筋肉に作用する神経が障害されること
④むくみやできものなどにより物理的に動きが制限されること
などがあげられます。
糖尿病など、全身的な病気が原因となる場合は、その治療を行いますが、まぶたに原因がある場合は、手術を行います。
近年増加しているのは、上の②にあたる方で、ある程度まぶたの筋肉の働きが残っていることが多いため、腱膜固定とよばれる手術が行われます。
手術は、二重(ふたえ)の線から余った皮膚を切り取り、外れてしまったまぶたの筋肉の腱膜を、瞼板という硬い組織に再固定して、筋肉の力がうまく働くようにするものです。手術は両側で40分~1時間程度かかります。

※筆者が他院で執刀した患者さまおよびご家族から承諾をいただいて写真を使用しています。本HP以外への無断転載はお断りします。
一方、まぶたの筋肉の機能がかなり弱い方(上の①や③など)では、同じ手術をしてもあまり効果が得られないため、代わりにおでこの筋肉の力でまぶたを開けられるようにする手術を行います。一般的には、太ももの筋膜を移植することが多いのですが、当院では直接おでこの筋肉を利用する、眼窩隔膜弁法をもちいることもあります。筋膜移植に比べ、やや調整が難しいものの、他の場所に傷がつかない、閉瞼障害や眼瞼後退などの合併症が少ない、という利点があります。
Shogo Kasai, Yusuke Shimizu, Hirotoshi Ohara, Tomoki Kiuchi, Jun Ihara, Kazuo Kishi Use of an Orbital Septum Flap for Correcting Severe Blepharoptosis. Aesthetic Plast Surg2021 Aug;45(4):1593-1600. doi: 10.1007/s00266-020-02087-1.
眼瞼下垂の手術は、成人の方であれば、原則局所麻酔で行います。日帰り手術でも可能ですが、高齢の方や、抗血小板薬・抗凝固薬などを使用している方では、術後の腫れが強く出たり、再出血を起こすリスクがあるため、1~2泊の入院をお勧めしています。お子さんの場合は、全身麻酔で、2泊3日程度の入院手術となります。