診療放射線技術科
MR検査について
MRIとは
MRIとはMagnetic Resonance Imagingの頭文字をとったもので、直訳では『磁気共鳴画像』です。
MRIは、人体の大部分を構成する水素原子核の核磁気共鳴(nuclear magnetic resonance:NMR)が組織によって異なることを利用して人体組織を映像化するものです。
装置の構造

人体を強い磁場の中に入れると、その磁力により人体内の一部の原子は一定の方向を向きます。
この状態で外部から電波エネルギーを与えると水素原子は励起され首振り運動を始めます。
外部からの電波を切ると元に戻ります。その戻り方が水素原子の集まり方(組織)によって違い、戻るときに微弱な電波エネルギーを発します。
この電波エネルギーをコンピュータで計算し画像化します。
MR検査装置
北館MRI装置(MR1)
北館MRI装置(MR2)
本館MRI装置(MR3)
本館MRI装置(MR4)
※いずれも超伝導磁石タイプ(MR2・3:磁場強度1.5テスラ、MR1・MR4:磁場強度3テスラ)です。
MR装置の特徴
・X線を使用しないので放射線被ばくがありません。
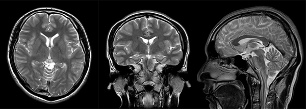
・体位を変えることなしに、任意方向(横断面だけでなく、縦や斜めなど)の断層面の撮像ができます。

頭部の断面像 いろいろな方向から撮影
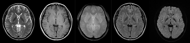
・撮像条件を変えることで、いろいろなコントラストの画像を撮像できます。

頭部の断面像 いろいろなコントラストの画像
・造影剤を使用しなくても、血流情報が得られます。(画像をクリックいただくと3D動画でご覧になれます)
・CT検査に比べ検査時間が比較的長いです。
検査の流れ
①正面玄関入り口すぐ右前の自動再来受付機を通してください。
②予約票と造影剤の同意書(渡されている方のみ)を持って放射線問診コーナーへお越しください。問診を記入いただいたあと、本館MR室または北館MR室へご案内させていただきます。
③検査を安全に行うため問診票に記入をしていただきます。(医療事故防止のため、記入していただいた内容について担当スタッフが再確認しますので、ご協力をお願 いします。)

④順番が近づきましたら更衣室で検査衣に着替えていただきます。

本館MRI待合室

北館MRI待合室
⑤検査時間は30分前後かかりますので、検査前にトイレを済ませておいてください。
ただし、膀胱を検査される方は膀胱を尿で膨らませておく必要がありますので、出来るだけ尿を貯めておいてください。
⑥撮像は何回か繰り返して行います。撮影している間に動いてしまうと画像がぶれてしまうため、じっとしていてください。
⑦検査中はガンガンと大きな音が出ます。撮像の仕方により音の大きさや出方は様々ですが、画像を作成するために必要なデータを収集している音なので心配ありません。
音1(拡散強調画像) 音2(T1強調画像) 音3(T2強調画像)
⑧検査中、検査室内は患者さん一人の状態になりますので、異常を知らせるための緊急用ブザーを持って検査を受けていただきます。
検査中に気分が悪くなった場合には、ブザーをにぎってお知らせください。
また、モニターでも検査室の中の状況を観察しておりますのでご安心ください。
⑨検査の種類によっては撮像中に息を止めていただくことがあります。息を止める時間は約20秒間です。
息止めを数回繰り返します。
⑩必要に応じてMRI用造影剤を静脈から注射することがあります。
この注射は検査する目的部位の描出効果を上げるために使用します。副作用は極めて少ない薬です。
⑪検査が終了したら、次の案内をお聞きください。
案内図

問診コーナーで本館MR室または北館MR室へご案内させていただきます。説明に従って待合でお待ちください。
検査を受けられる方へ
検査を受けられる方は次のことに注意してください。
- 心臓ペースメーカー/植え込み型除細動器
(注:条件付きMRI対応ペースメーカー、ICDについては、様々な準備が必要なため、緊急での検査は対応できません。まず、担当医師にご相談ください。) - 2ヶ月以内に挿入された冠動脈ステント/脳神経外科の手術時における金属/内視鏡止血クリップ/人工内耳/その他の体内金属(注:排出が確認できない場合は腹部のX線撮影をしてもらっています。X線撮影でクリップが残存している場合は、当日の検査を受けられない場合があります。)
- 磁石式インプラント/入れ歯/歯の矯正器具
- 輸注ポンプ/輸液ポンプ/心電図モニター/ホルター心電図
- 貼付剤(ニトロダーム、湿布薬など)/ホッカイロ/エレキバン
- 携帯電話などの電子機器/磁気カード
- 妊娠初期(14週未満)/閉所恐怖症
上記のものは、あくまで簡易的なものです。ご不明な点があれば、MR検査室に問合せをお願いします。
MR検査室 TEL:028-626-5500(代表) 内線:3186
お子様が検査を受けられる方へ
MR検査は放射線科の検査の中でも比較的検査時間が長く(30分前後)、検査中には装置特有の『道路工事のような』大きな音がともないますので、0~6歳までのお子さまの場合、通常、鎮静剤を使用して寝ている状態で検査を行います。また大きな年齢のお子さまでも、検査中じっとしていられないお子さまに使用する場合があります。
- 来院時間について
鎮静剤を必要としないお子さまは、検査予約時間の30分前に放射線問診コーナーへお越し下さい。
鎮静剤を必要とするお子さまは、11時30分頃おいでください。 - 服装について
衣服に金属が付いていると検査の妨げになります。
当院では安全面を考慮し、全員検査着に着替えてもらっています。 - お食事について
お食事は2時間前からはとらないでください。 - 常用薬について
検査当日もいつも通りお飲みください。(外来担当医から薬について指示がある場合はそれに従ってください。) - 眠りやすくするには
鎮静剤を使用しても、神経質・警戒心の強いお子さまの場合、睡眠しにくい傾向にあります。
お薬を使用してすぐに眠れるようにするために、検査当日は2~3時間早く起こすなどの対応をお願いします。
また検査の前に眠らせないなどの工夫をしてください。
特に、来院の際には乗り物の中でも眠らないように気を配ってください。 - 薬を使用した後は
睡眠剤を使ってから30分位でお薬の効果が現れ、眠くなるとともに足元がふらついたり、体がふらふらしたりすることがあります。
そのため転びやすくなったり、一人で座らせていても横や後ろに倒れやすくなりますので転倒・打撲などに注意してください。 - 検査中に動いてしまうと
動く程度によっても異なりますが、画像が作成できなかったり、画像になっても診断上、支障をきたす場合がほとんどです。

造影検査を受けられる方へ
MRI用造影剤には、全身に使用されるガドリニウム(Gd)製剤と一部の肝臓の病気に使用される鉄製剤(SPIO製剤)の2種類がありますが、当院の99%の造影検査にはガドリニウム製剤が使われています。どちらも、腕の静脈より注入されます。
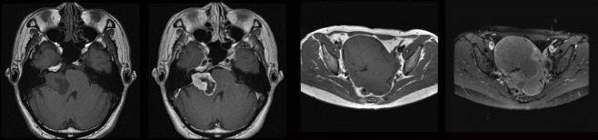
使用する目的は、病変と周辺組織との位置関係、病変の大きさ、内部構造を明確にすることです。Gd製剤が取り込まれた部分は画像上白くなります。
Gd造影剤(無色)は静脈内に投与された後、血管内から細胞間隙に移行し、腎から尿として排泄されます。
Gb製剤使用前 Gd製剤使用後 Gd製剤使用前 Gd製剤使用後+脂肪抑制
以下に該当すると、造影検査が出来ない場合があります
【Gd製剤の場合】
Gd造影剤に過敏症の既往歴のある方、気管支喘息のある方、重篤な腎障害のある方、重篤な肝障害のある方、一般状態の極度に悪い方、妊婦、アレルギー体質の方(薬物アレルギー・食物アレルギー)。
副作用については、検査の時点での体調やアレルギーの有無、造影剤の既往などに注意しながら安全に検査が行われるように努めておりますが、検査中あるいは検査後しばらくしてから下記の様な副作用症状が起きることがあります。
- 軽い副作用
・Gd製剤では(頻度は約1~2%以下):吐き気、嘔吐、頭痛、めまい、注入部位反応、発疹、かゆみ、発熱、せき、など。 - 重い副作用
・Gd製剤では(極めてまれで1万人に1人以下):まれにショックやアナフィラキシー様反応(例えば呼吸困難や血圧低下など)が生じることがあります。 - 遅発性副作用
検査終了後に遅れて軽い副作用がみられる場合があります(遅発性副作用)。症状が出るのは検査後1時間程度から数日後まで幅があります。
・Gd製剤では、一般に軽い症状が多く、頭痛、吐き気、めまいなどの主観的な症状と、発疹、かゆみじんましんなどの皮膚症状が中心で、治療を必要とするものは少ないとされています。
検査後の過ごし方
①Gd製剤は、腎から尿中に排泄されますので、排泄を促すためにもいつもより水分を多めにおとりください。
②食事の制限はありません。
③入浴の制限はありません。
④遅発性の副作用と思われる症状が現れた場合は、救急外来を受診されるか、救急外来までご連絡ください。
栃木県済生会宇都宮病院救命救急センター
TEL:028-626-5599
造影剤の同意書
同意書を記入して、検査当日お持ちください。 当日、再度同意書の内容について確認させていただきます。
検査結果について
画像診断は放射線科専門医によって行われ受診科に報告されます。
次回診察日に担当医より結果の説明があります。
検査の質問は
ご不明な点や疑問を持たれている方は、事前に電話でお問い合わせいただくか、当日担当の者にお聞きください。
MR検査室 TEL:028-626-5500(代表) 内線3186
9:00~17:00(土曜・日曜・祝祭日をのぞく)
予約変更、お問い合わせは
予約時間までにお越しになれない場合や、予約日時の変更等のお問い合わせは、下記までご連絡ください。
放射線問診コーナー TEL:028-626-5767(直通電話)
15:00~17:00(土曜・日曜・祝祭日をのぞく)
MR検査 Q&A
メークを施したお店で確認してください。
授乳中に投与された造影剤の乳汁に含まれる量はごくわずかであり、授乳は通常通り継続して頂いても問題ありません。もし、不安がある場合は24-28時間程度授乳を控えていただいてもかまいません。
X線撮影でクリップが残存している場合は、当日の検査を受けられない場合があります。
ただし、当院にて2010年以降に内視鏡クリップを留置されている方は、クリップの残存に関わらず、MRI検査可能です。
また、検査部位が上腹部(肝臓、胆嚢、膵臓)特に、検査内容に胆膵+MRCPと書いてある患者様は、診断能向上のため6時間前からの禁食をお勧めします。
旋盤工など金属の加工に携わる職業の方は、皮膚や頭皮に鉄粉が付着している場合、検査ができないこともありますので、あらかじめ洗顔洗髪をお勧めします。
医療機関の皆様へ
検査のご案内
院外からのMR検査ならびに画像診断を承っております。
お受けするMR検査は
頭部・頸部・乳房・胸部・腹部・骨盤・脊椎・脊髄・四肢・関節・MRA・MRCPなど。
ご予約方法は
病診連携室:直通電話028-626-5674で、ご予約を受け付けます。
電話予約の際に検査予約日時、紹介検査患者番号をお伝えしますので、『患者さん用の検査予約票』と『情報提供書』にご記入ください。
当院受診歴の有無を予約時に確認させていただきますので、事前に患者さんにご確認くださるようお願いします(当院を受診したことがある患者さんの場合は、当院のID番号がすでにあります)。
検査予約時の注意
『紹介状』には、検査部位に『○』をつけて、具体的に知りたい内容などを簡潔にお書きください。
また、検査をする上で必要と思われる臨床データ(感染症の有無、アレルギーの有無、血清クレアチニン、気管支喘息の既往など)の提供をお願いします。
●体内装着の電子精密機器(ペースメーカー、除細動装置、人口内耳)を装着されている場合は検査を受けることができません。
●脳動脈クリップや手術で埋め込んだ金属が磁性体の場合は、検査ができませんので規格・種類の確認が必要です。
●外傷などで体の内部(目、脳、肺、縦隔)に強磁性体(鉄片や弾丸など)がある場合は検査を受けることができません。
●閉所恐怖症の方は、個人差にもよりますが検査が出来ない場合もあります。
●妊婦に対しては、胎児に及ぼす影響が不明であるため、妊娠3ヶ月以内のMR検査は避けてください。
*ご不明な点があればご連絡ください。事前に確認が必要な場合があります。
検査当日について
検査予約時間30分前に、総合受付1にて受付の手続きを行うように、患者さんにお伝え下さい。
『検査予約票』、『情報提供書』、『保険証』、『済生会病院の診察券(以前に当院を受診されたことのある方のみ)』をご持参するようお伝えください。
検査結果について
当院の放射線科専門医が診断をして、検査結果とレポートを後日郵送させていただきます。通常2~3日でお手元にお届けしますが、場合により1週間程度の日数を必要とする場合もありますのでご了承ください。
至急で結果が必要な場合は、あらかじめ予約の際にお申し出ください。
検査結果について緊急性がある際には、こちらより直ちに電話でご連絡させていただきます。