最新医療機器による検査

PET/CT検査について

PET/CT装置 PET/CTは「がん」の早期発見を可能にする最新の検査方法です。

 

 

PET/CT検査の概要

PET検査のしくみ

イメージ図 PET検査の仕組み「がん」細胞は、正常な細胞に比べて約3~8倍のエネルギー(ブドウ糖)を必要とします。そこで、ブドウ糖と似た働きをする検査薬(FDG)を体内に注射し、それが身体のどこに集まるのかを画像化してがんの存在を特定します。PET検査はがんの性質を上手に利用した検査法なのです。

PET検査の留意点

・PET/CTはがんの診断にとって画期的な検査ですが、万能ではありません。臓器や部位によっては発見が困難ながんもあり、また顕微鏡レベルの微小ながん細胞は発見できません。
・PET/CTで使用する検査薬(FDG)は、がん以外の部位(脳や腎臓、膀胱)や、炎症が起きている部位にも集積してしまいます。そのため、PET/CTで異常が発見された場合、がんかどうかの確定診断のためにほかの検査(超音波や内視鏡など)が必要になることもあります。

発見されやすい「がん」 肺がん・大腸がん・食道がん・すい臓がん・甲状腺がん・乳がん・子宮がん・卵巣がん・悪性リンパ腫・悪性黒色腫
発見されにくい「がん」 早期の胃がん・前立腺がん・肝臓がん
(超音波検査や内視鏡検査との組み合わせが必要です)
PET/CT検査の特徴
  • 一度の検査で全身の「がん」や「転移の有無」などの検査が可能です。
  • 従来の検査で困難であった小さな「がん」や「リンパ節転移」の発見が可能です。
  • 腫瘍の良性・悪性の判断や「がん」の広がりの程度、転移などの正確な診断が可能です。
  • 「PET検査」と「CT検査」を組み合わせることにより検査時間が短縮され、患者さんへのご負担を軽減することができます。
PET/CTの設備について

当院のPET/CT装置は、病巣がどこにあるのかを探す「PET」と、その病巣の形状や大きさを判別する「CT」を1回の検査で両方行いその後、それぞれの画像を重ね合わせることができます。まさに、PETとCTの「良いとこどり」を実現させた検査であり、これにより従来の検査では困難であった直径1cm程度の小さながんや全身のリンパ節転移の発見を可能にしました。

PET/CT装置1  PET/CT装置は、1回の検査で「PET」と「CT」を同時に行うことにより検査時間が大幅に短縮され、患者さんのご負担を軽減することが可能になりました。

 

 

 

 

PET/CT装置2  「PET」と「CT」のそれぞれの画像を重ね合わせることにより、正診率が飛躍的に向上し、「がん」の早期発見を可能にしました。


PET/CT検査の流れ

1.受 付

受付 放射線問診コーナーにて、予約票を提示してください。

2.問診票の記入

問診票の記入 問診票をご記入いただき、検査受付6より検査室へご案内いたします。

3.更 衣

待機室 待機室にて着替えていただき、お茶(お水)を飲みながら安静にしています。(約15分)

4.検査薬の投与

診察室 診療室にて、検査薬の注射を行います。また、血糖値の測定のため、微量の採血もいたします。

5.安静待機

待機室 待機室にて、お茶(お水)を飲みながら安静にしています。(約60分)

6.撮 影

PET/CT室 PET/CT室にて、1回目の撮影を行います。検査時間は約20分です。

7.安静待機

待機室 待機室にて、2回目の撮影の時間まで安静にしています。(約30分)

 

 

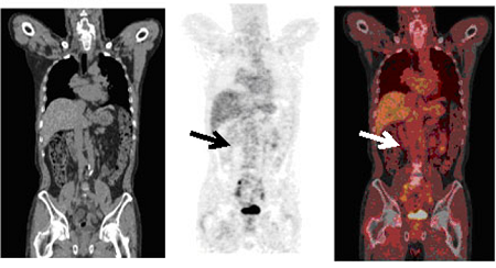
PET/CTの写真

大腸がん/再発
大腸がん/リンパ節転移

PET/CTのQ&A

Q1 PET/CTって何ですか?

A:がん病巣発見のための検査が「PET」であり、その形状と位置の特定のための検査が「CT」です。この2つの検査を組み合わせることにより、飛躍的に精度の高い診断が可能になりました。「がん」の早期発見を確実に達成できる次世代の検査が「PET/CT」なのです。

Q2 PET/CTで何がわかるのですか?

A:がん細胞は正常の細胞よりも分裂が盛んに行われる為、その分エネルギー(ブドウ糖)が必要です。そこで、ブドウ糖に似た働きをする検査薬(FDG)を注射すると、がんの病巣にたくさん集まります。その様子をPET装置で撮影することにより「がんがどこにあるのか」がわかり、同時にCTを撮影することによって「がんの大きさや形状・正確な位置」がわかります。PET/CTで飛躍的に正診率が向上し、その後の治療方法や治療する範囲を決定するのに大変役に立っています。

Q3 PET/CTによる被ばくはどのくらいですか?

A: PET/CT検査で用いるお薬(FDG)は、目印として放射線を利用しますが、副作用はほとんどありません。被ばくについてもPETのみで考えると約3mSv(シーベルト)です。日本人が1年間に自然界から受ける放射線の被ばくが約2.5mSvなので、大変少ないレベルといえます。ただし、被ばく線量が少ないといっても、妊産婦や授乳中の放射線検査は極力避けるべきなので、検査前には妊娠の可能性がないことをご確認ください。

Q4 検査にあたっての注意事項は?

A:
◆検査前について
PET/CTはブドウ糖の代謝を利用した検査のため、予約時間の5時間前から絶食をしていただく必要があります。水や無糖のお茶などは飲んでも結構ですが、甘いものは避けてください。
・ 検査薬(FDG)は正常な筋肉にも集まるため、激しい運動や力仕事をすると筋肉に多く集積してしまい、がん検査の診断が難しくなってしまいます。検査の前日からは、なるべく安静にしてください。
・ 検査薬は尿と一緒に排泄されるため、撮影の直前には膀胱内にあるクスリを排出するために排尿をすませてください。
◆検査終了後について
特に注意事項はございません。ごく普通の生活をしていただいてけっこうです。

お問い合わせ
栃木県済生会宇都宮病院 診療放射線技術科 核医学診療課 PET/CT室
TEL 028-626-5500(内線3178)