お問い合わせ
交通アクセス
スマホサイト
Language
English
中文
文字サイズ
文字サイズ
お問い合わせ
交通アクセス
Language
English
中文
病院について
院長からのご挨拶
理念と基本方針
臨床倫理方針・職業倫理行動指針
患者さんの権利と責任
子どもの患者さんの権利
個人情報保護の基本方針
個人情報の取扱い
医療安全管理指針
院内感染対策指針
ソーシャルメディアのガイドライン
クラウドファンディング支援者ご芳名一覧
Instagram サイトポリシー
病院概要
沿革
厚生労働大臣が定める掲示事項
病院基本情報
統計
女性活躍推進法に基づく行動計画
次世代育成支援対策推進法に基づく一般事業主行動計画
中途採用比率の公表
臨床研修病院として
特定行為について
臨床研究
入札について
条件付き一般競争入札:外来関係医事業務
条件付き一般競争入札:入院関係医事業務
条件付き一般競争入札:健診センター業務
公募型プロポーザル :電子カルテシステム及び関連部門システム等更新業務
公募型プロポーザル :部門システム(手術・重症)更新業務
公募型プロポーザル :ネットワーク等更新業務
公募型プロポーザル :大型UPS更新業務
公募型プロポーザル :部門システム(画像参照ポータル・検査・放射線治療・健診)更新業務
公募型プロポーザル :日常清掃・定期清掃及び廃棄物運搬業務
公募型プロポーザル :来院駐車場運営管理業務委託
公募型プロポーザル結果 :日常清掃・定期清掃及び廃棄物運搬業務
条件付一般競争入札結果:病院給食洗浄等業務
条件付一般競争入札結果:健診センター業務
条件付一般競争入札:一般廃棄物及び産業廃棄物の収集運搬処理業務
条件付一般競争入札結果:一般廃棄物及び産業廃棄物の収集運搬処理業務
条件付一般競争入札:超電導磁気共鳴診断装置一式
条件付一般競争入札結果:超電導磁気共鳴診断装置一式
病院指標
病院指標R01
病院指標R02
病院指標R03
病院指標R04
病院指標R05
病院指標R06
みやのわホール
広報
病院パンフレット(PDF版)
院外報「みやのわ」
メディア掲載情報
医療サービス
患者さんの声(Q&A)
ご相談・各種教室・公開講座のご案内
がん相談支援センター
地域がん診療連携拠点病院
がん治療について
緩和ケア
がん相談支援センター
セカンドオピニオン
臨床研究
院内がん登録
乳がん女性患者の会「さくらんぼの会」
医療相談・看護相談室
治療と仕事の両立支援
腎臓病教室のご案内
糖尿病教室のご案内
公開講座のご案内
ご来院の方へ
院内店舗のご紹介
みやのわホール
院内全域にAEDを設置
携帯電話のご使用について
盲導犬・介助犬・聴導犬について
敷地内禁煙について
交通アクセス
English Page
Chinese Page
お問い合せ
がん診療について
地域がん診療拠点病院
がん治療について
肺がん治療・手術について
前立腺がん・膀胱がん・腎がん
子宮頸がん
子宮頸部の細胞診検査
子宮頸がんの放射線治療
大腸がんの化学療法
肺がんの化学療法
放射線治療
放射線治療について
緩和ケア
緩和ケア | 担当医
緩和ケア | 緩和ケア病棟
緩和ケア | 緩和ケアチーム
がん相談支援センター
がん相談支援センター | がん看護専門看護師
がん相談支援センター | 緩和ケア認定看護師
がん相談支援センター | がん化学療法認定看護師
セカンドオピニオンについて
当院のセカンドオピニオン外来を希望される患者さんへ
他の医療機関のセカンドオピニオンを希望される当院の患者さんへ
がんゲノム医療について
臨床研究
院内がん登録
院内がん登録(2007~2016)
乳がん女性患者の会
乳がん女性患者の会ワークショップ
DPC特定病院群
日本医療機能評価機構認定病院
とちぎ性暴力被害者サポートセンター(とちエール)
待合室への呼び出し通知アプリ「MyHospital」のご案内
外来受診のご案内
初めて来院される方へ(初診)
再度来院される方へ(再診)
お薬処方希望の方へ
検査来院の方へ
救急外来のご案内
選定療養費について
診断書・証明書の発行について
ご本人による窓口申請以外の申込みについて
セカンドオピニオンについて
当院のセカンドオピニオン外来を希望される方へ
がんに関するセカンドオピニオン外来担当医師表
他院のセカンドオピニオンをご希望の方
がんゲノム医療について
無料または低額診療について
当院で出産を希望されている方へ
パパママクラスのご案内
妊娠と薬外来について
禁煙外来について
看護外来・看護相談
糖尿病療養支援外来
ストーマケア外来
がんでお悩みの方へ
外来担当医師表
内科
泌尿器科
眼科
放射線科
婦人科
脳神経外科
外科
呼吸器外科
小児科
研究実績(2015年以前)
皮膚科
形成外科
耳鼻咽喉科
研究実績(2017年以前)
特殊外来
精神科
心臓血管外科
産科
バースセンタークリニック
内科(健診診療)
内科(緩和ケア)
看護外来
外来診療のご案内
休診・代診のお知らせ
診察予約の変更について
入院のご案内
入院時について
個室料金について
入院医療費について
面会について
診断書・証明書(入院証書)の発行について
緩和ケア病棟のご案内
入院中のお食事について
クリニカルパスについて
循環器内科|パス
呼吸器内科|パス
腎臓・糖尿病内分泌内科|パス
外科|パス
呼吸器外科|パス
整形外科|パス
脳神経外科・内科|パス
形成外科|パス
小児科|パス
産科|パス
心臓血管外科|パス
婦人科|パス
耳鼻咽頭科|パス
眼科|パス
泌尿器科|パス
救急・集中治療科|パス
入院準備支援アプリ「ポケさぽ」
各部門のご案内
診療部のご案内
臨床遺伝センター
臨床遺伝センターについて
費用
遺伝カウンセリングの相談内容例
主要スタッフ
臨床遺伝センター外来
がんゲノム外来
遺伝相談
遺伝外来(小児科)
緩和ケア科
主要スタッフ
研究実績
緩和ケア科について
緩和ケアセンター
主要スタッフ
診療実績
病理診断科
主要スタッフ
研究実績
病理標本の保管に関するお知らせ
リハビリテーション科
リハビリテーション科について
主要スタッフ
診療実績
研究実績
化学療法センター
歯科
口腔ケア
各診療科専門領域のご紹介
内科
内科
総合診療科
循環器内科
脳神経内科
総合内科
消化器内科
呼吸器内科
腎臓内科
糖尿病・内分泌内科
血液リウマチ科(血液内科)
血液リウマチ科(膠原病リウマチ疾患)
認知症疾患医療センター
センターについて
電話相談・診察について
心臓カテーテルセンター
心臓カテーテルセンター|主要スタッフ
心臓カテーテルセンター|診療実績
外科
ご挨拶
外科について
主要スタッフ
診療実績
研究実績
研究実績(2015年以前)
呼吸器外科
呼吸器外科について
主要スタッフ
診療実績
研究実績
整形外科
主要スタッフ
対象疾患
診療実績
研究実績
公開講座のご案内
人工関節センター
ご挨拶
受診方法
診療実績
形成外科
主要スタッフ
対象疾患
診療実績
研究実績
脳神経外科
主要スタッフ
対象疾患
診療実績
研究実績
心臓血管外科
ご挨拶
主要スタッフ
対象疾患
診療実績
研究実績
教育的取り組み
心臓血管外科関連リンク集
関連施設
外科系データベース事業
大動脈センター
大動脈瘤
大動脈解離
ステントグラフト
ハイブリッド治療
脳卒中センター
ご挨拶
主要スタッフ
診療実績
泌尿器科
泌尿器科について
主要スタッフ
研究実績
診療実績
耳鼻咽喉科
耳鼻咽喉科について
主要スタッフ
診療実績
研究実績
新田医師の初診外来予約について(完全予約制)
眼科
眼科について
主要スタッフ
診療実績
研究実績
皮膚科
皮膚科について
レーザー治療について
主要スタッフ
診療実績
研究実績
小児科
小児科について
主要スタッフ
研究実績
産婦人科
産婦人科について
不妊治療について
不妊治療における先進医療
当院で出産をご希望の方へ
主要スタッフ
研究実績
診療実績
放射線診断科
放射線診断科について
主要スタッフ
研究実績
放射線治療科
放射線治療科について
主要スタッフ
診療実績
研究実績
麻酔科
麻酔科について
主要スタッフ
研究実績
超音波診断科
超音波診断科について
主要スタッフ
研究実績
精神科
精神科について
主要スタッフ
救急・集中治療科
救急・集中治療科について
主要スタッフ
研究実績
内科(健診診療)
内科(健診診療)について
主要スタッフ
化学療法科
化学療法科について
主要スタッフ
研究実績
看護部のご案内
看護部のご紹介
ふれあい看護体験
薬剤部のご案内
調剤課
薬剤化学療法課
薬品管理課
薬剤情報課
病棟薬剤課
チーム医療
学会・論文発表実績
専門資格者一覧
薬剤部が採用しているシステム・設備
患者さんへ
薬学生の方へ(実務実習)
入職希望者の方へ
入職希望者の方へ_先輩薬剤師の声
保険薬局の方へ
疑義照会簡素プロトコル
保険薬局の方へ_過去の研修会
製薬企業の方へ(医薬品情報提供)
医療技術部のご案内
臨床検査技術科
検体検査課の紹介
外来検査課の紹介
病理検査課の紹介
生理機能検査課の紹介
超音波検査課の紹介
ISO15189:2022を取得いたしました。
診療放射線技術科
一般撮影
マンモグラフィ
X線透視
CT検査
MRI検査
血管造影
RI検査
PET/CT検査
放射線治療
医療栄養科
みやのわレシピ過去号
リハビリテーション技術科
理学療法課
理学療法課_呼吸器・循環器チーム
作業療法課
言語聴覚課
臨床工学技術科
視能訓練課
視能訓練課について
一般眼科検査
術前検査
臨床心理課
チーム医療
NSTチーム
栄養療法について
緩和ケアチーム
褥瘡対策チーム
呼吸ケアチーム
糖尿病ケアチーム
感染対策チーム
抗菌薬適正使用支援チーム
せん妄・認知症ケアチーム
化学療法サポートチーム
irAE対策チーム
クリニカルパス
術後疼痛管理チーム
事務部のご案内
事務部のご紹介
各課のご紹介
医療情報室
テスト掲載
関連機関のご案内
救命救急センター
診療実績
主要スタッフ
臨床研究
健診センター
ドックパンフレット
予約システム変更のご案内
健診センター|肺機能検査・内視鏡検査再開のお知らせ
健診センター|健診センター休日のお知らせ
健診センター|アレルギー検査が加わりました
健診センター|心臓超音波検査が加わりました
健診センター|血液検査項目(ZTT)の廃止について
健診センター|経鼻内視鏡検査について
栃木県予防接種センター
栃木県予防接種センターについて
訪問看護ステーションほっと
ほっとについて
運営規程・指針
ご利用料金
訪問看護師の1日と地域貢献活動
訪問エリア
ご利用にあたって
お問い合わせ
訪問看護とは
居宅介護支援とは
担当者の声
訪問看護Q&A
看護専門学校
人間ドック・健診
健診センターについて
人間ドックギフト券
ドックの特徴
専門ドック・その他のご案内
「オフシーズン・人間ドック」のご案内
骨密度ドックのご案内
乳がんドックのご案内
肺がんドックのご案内
脳ドックのご案内
PET/CTドックのご案内
一泊ドック・日帰りドック
人間ドックオプション検査
人間ドックオプション検査詳細
特定健診
健診統計資料
地域医療連携
患者さんへ
受診される方々へ
連携についてのご案内
連携医制度のご案内
紹介状と選定療養費の関係をご理解いただくためのQ&A
連携医一覧(宇都宮地区)
連携医一覧(その他の地区)
連携医一覧(歯科)(宇都宮地区)
連携医一覧(歯科)(その他の地区)
なでしこプラン
地域医療支援病院です
地域の先生方へ
紹介受診重点医療機関について
地域連携部門について
連携医制度のご案内
診療予約の流れ
画像連携について
とちまるネットについて
講演会・講習会・研究会のご案内
地域連携合同カンファランス20180315
地域連携合同カンファランス20190221
地域連携合同カンファランス20170221
研究会|第9回小児連携研究会20170223
研究会|第16回済生会「緩和ケア地域連携」勉強会
連携だより
職員募集のご案内
医師募集のご案内
総合診療科医募集
総合内科医募集
循環器内科医募集
消化器内科医募集
呼吸器内科医募集
呼吸器内科医募集 (2)
脳神経内科医募集
血液・リウマチ科医募集
糖尿病・内分泌内科医募集
化学療法科医募集
外科医募集
呼吸器外科医募集
心臓血管外科医募集
眼科医募集
泌尿器科医募集
産婦人科医募集
放射線科医募集
放射線治療科医募集
放射線診断科医募集
麻酔科医募集
超音波診断科医募集
緩和ケア科医募集
健診診療科医
麻酔科医 (非常勤)
健診診療科医 (消化器内視鏡)非常勤
健診診療科医 (非常勤)
化学療法専門医
内科医(外来専門)
糖尿病・内分泌内科医(非常勤)
専攻医(募集要項)
放射線科専門研修プログラム
研修医の部屋(研修医募集)
臨床研修理念・基本方針
研修医の声
研修風景
レジデントセミナーについて
症例レポートについて
研修医の部屋
研修医の声
研修医Q&A
当院で研修をご希望の方へ
臨床研修病院指定
症例レポートについて
臨床研修プログラム(後期臨床研修医)
初期臨床研修医募集のご案内
レジデント(旧専門医制度)募集のご案内
臨床研修プログラム
呼吸器内科後期研修プログラム
呼吸器外科後期研修プログラム
外科後期研修プログラム
小児科後期研修プログラム
産婦人科後期研修プログラム
循環器内科後期研修プログラム
救急科後期研修プログラム
泌尿器科後期研修プログラム
消化器内科後期研修プログラム
皮膚科後期研修プログラム
神経内科後期研修プログラム
総合内科後期研修プログラム
総合診療専門医プログラム
腎臓内科後期研修プログラム
血液・リウマチ科後期研修プログラム
糖尿病・内分泌内科後期研修プログラム
心臓血管外科後期研修プログラム
放射線科後期研修プログラム
募集要項
看護部 採用情報
コメディカル
薬剤師2026年度
言語聴覚士(外来)2024年度
言語聴覚士(外来)2025年度
言語聴覚士(入院)2024年度
言語聴覚士募集(2023年度採用)
理学療法士2025年度
理学療法士2026年度
管理栄養士募集2026
診療放射線技師2026年度
臨床検査技師2026年度
臨床工学技士2026年度
臨床検査技師募集2025年度(臨時)
臨床検査技師募集2025年度
作業療法士募集(臨時)
調理師(臨時)募集
調理師募集2026
救急救命士募集2026
事務・その他
先輩スタッフの声
事務部|先輩スタッフの声(経営支援課)
事務部|先輩スタッフの声(医事請求課)
事務部|先輩スタッフの声(経理課)
事務部|先輩スタッフの声(総務課)
各課のご紹介
済生会宇都宮病院看護専門学校事務職員(特定職員)募集
事務職員(医事請求課業務)(パート)募集
健診課事務職員(特定職員)
診療支援課(書類受付窓口業務)事務職員(特定職員)募集
滅菌労務員(常勤職員)随時募集
医療サービス課(特定職員)
電話交換室事務職員(パート職員)募集
医師事務作業補助者募集
医師事務作業補助者募集 2025年度
建物・施設管理技士(事務部:管財課職員)募集
ボランティア募集のご案内
ボランティア(カットボランティア)募集
済生会宇都宮病院TOPページ
各部門のご案内
医療技術部のご案内
診療放射線技術科
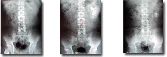
X線透視
経静脈的腎盂造影
医療技術部のご案内
診療放射線技術科
臨床検査技術科
医療栄養科
リハビリテーション技術科
臨床工学技術科
視能訓練課
臨床心理課
最新医療機器による検査
X線透視室での主な検査
経静脈的腎盂造影